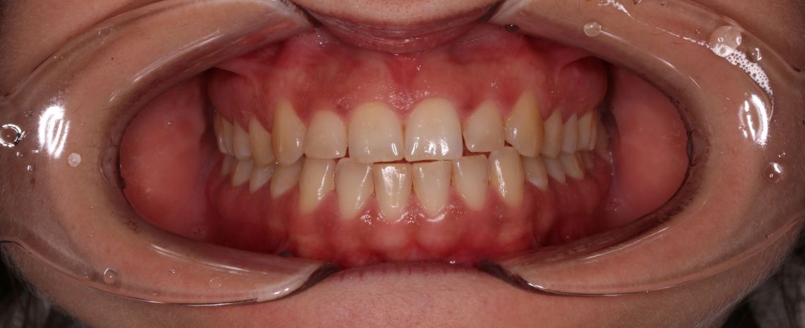
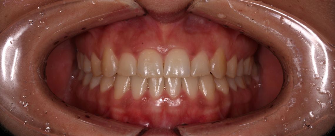
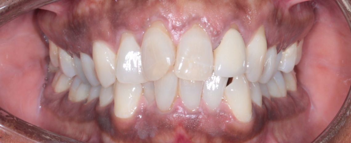
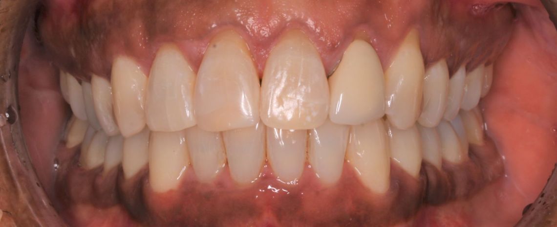
Smile gallery




Invisalign


Fixed Braces


Fixed Braces


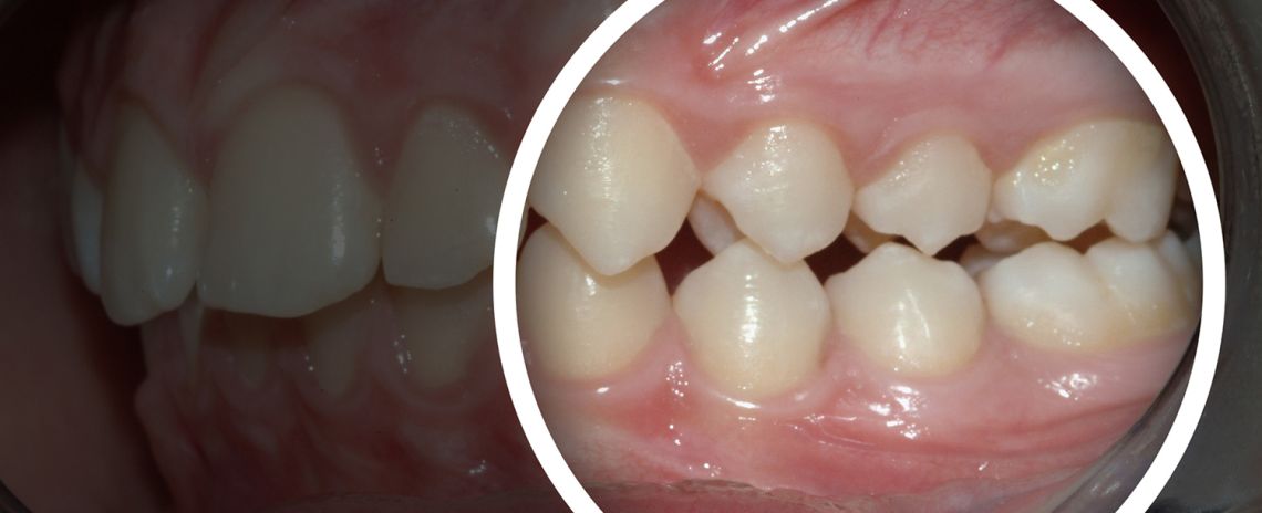
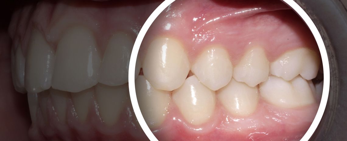
Bite Concerns Teeth Straightening


Composite Bonding and Whitening


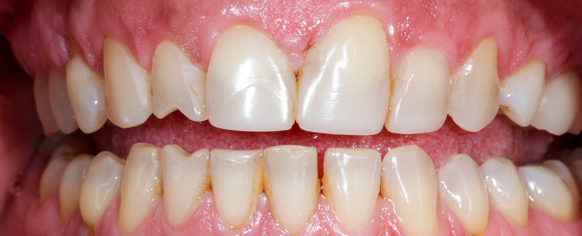
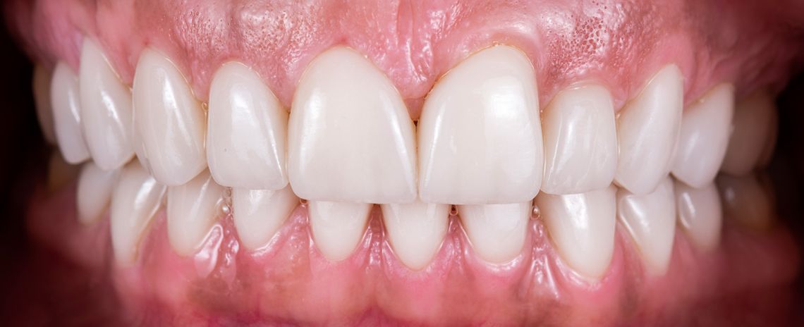
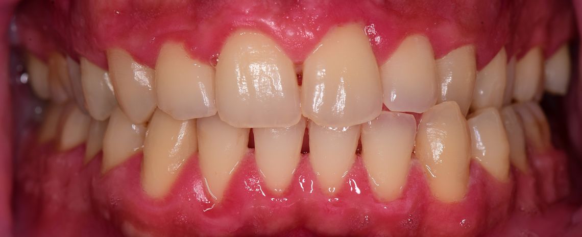
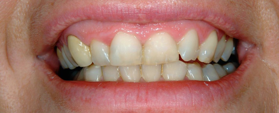
Crown


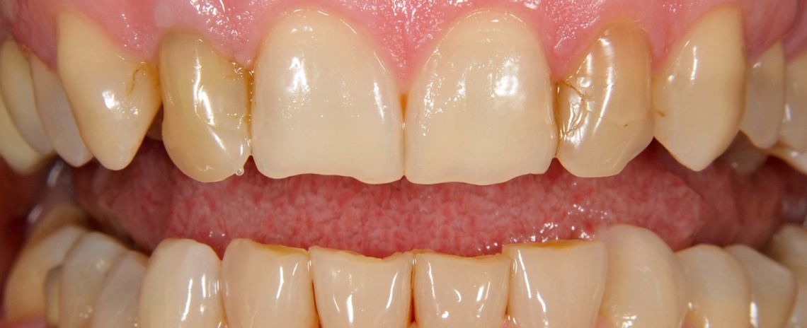
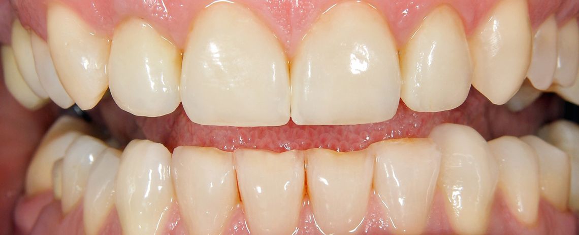
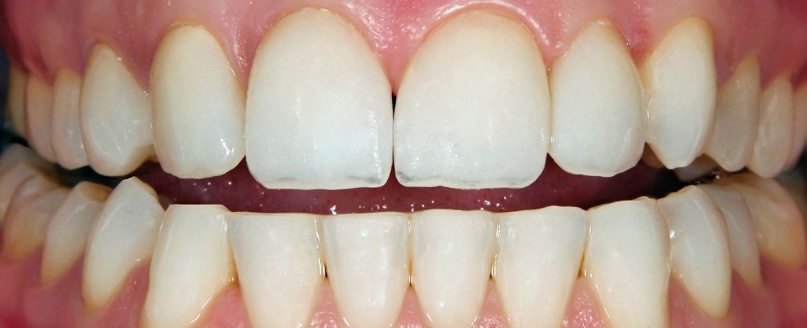
Crowns and Veneers


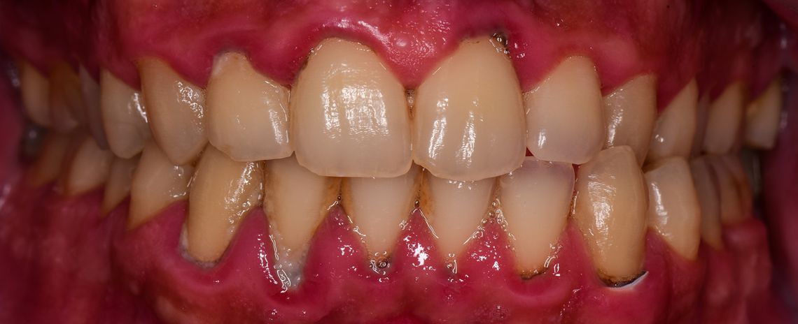
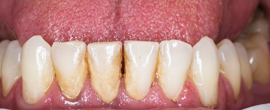
Gum Disease Clean


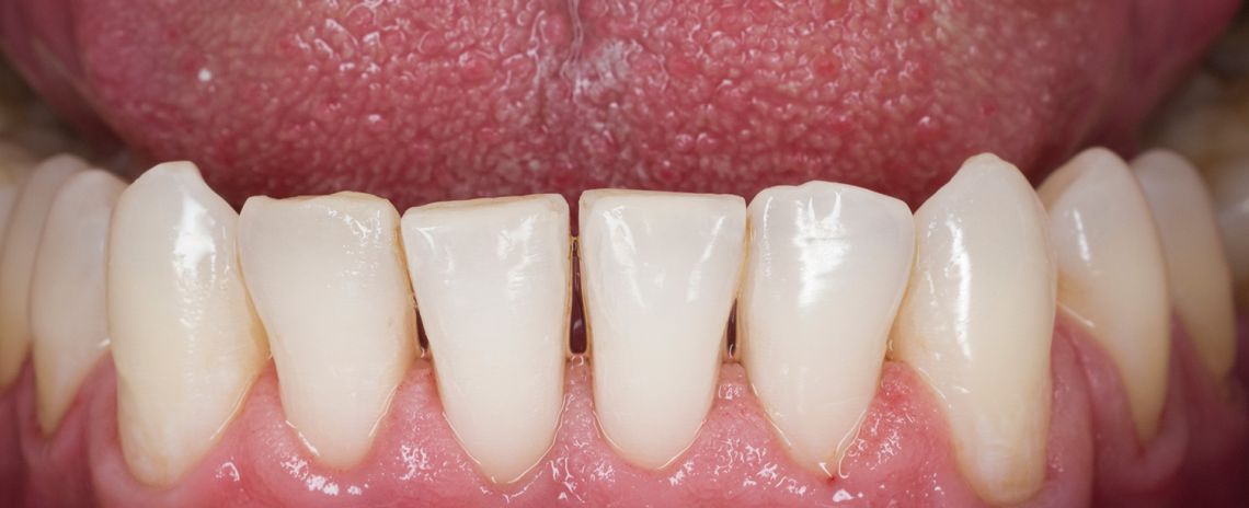
Hygiene Clean


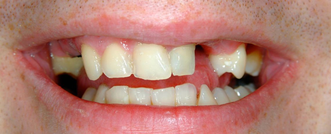
Implant Denture


Teeth Straightening, Sculpting and Composite Bonding


Teeth Straightening and Whitening


Teeth Whitening


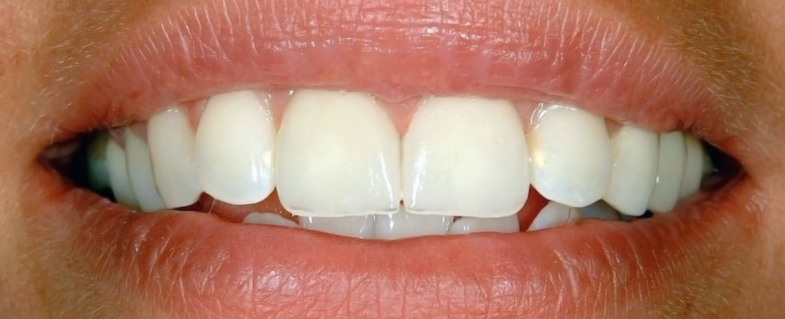
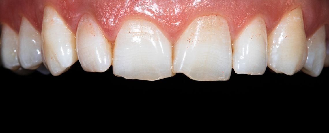
Veneers


Veneers

